ℹ️ Skipped - page is already crawled
| Filter | Status | Condition | Details |
|---|---|---|---|
| HTTP status | PASS | download_http_code = 200 | HTTP 200 |
| Age cutoff | PASS | download_stamp > now() - 6 MONTH | 8.1 months ago (distributed domain, exempt) |
| History drop | FAIL | isNull(history_drop_reason) | tooold |
| Spam/ban | PASS | fh_dont_index != 1 AND ml_spam_score = 0 | ml_spam_score=0 |
| Canonical | PASS | meta_canonical IS NULL OR = '' OR = src_unparsed | Not set |
| Property | Value |
|---|---|
| URL | https://news.qq.com/rain/a/20210119A08LFN00 |
| Last Crawled | 2025-08-07 20:24:45 (8 months ago) |
| First Indexed | not set |
| HTTP Status Code | 200 |
| Meta Title | 孩子牙龈长包,吃点消炎药就能好吗?_腾讯新闻 |
| Meta Description | 4岁的童童下牙龈长了一个包,家长看这个包和痘痘有几分相似,竟然上手给挤掉了!可没过几天,这个地方又鼓起了一个包,家长赶紧给童童吃消炎药。然而,肿包却反反复复,到齿科一检查竟被告知:要做根管治疗。龋齿…… |
| Meta Canonical | null |
| Boilerpipe Text | 较真要点:这种观点是不对的。孩子牙龈长包跟牙髓感染有关,除了蛀牙,磕伤牙齿也可能会导致长包。针对不同的情况,要及时进行观察和就医,防止口腔感染。 4岁的童童下牙龈长了一个包,家长看这个包和痘痘有几分相似,竟然上手给挤掉了!可没过几天,这个地方又鼓起了一个包,家长赶紧给童童吃消炎药。 然而,肿包却反反复复,到齿科一检查竟被告知: 要做根管治疗 。 看到这里,你是不是也很疑惑:牙龈长包干嘛要钻开牙齿做根管治疗?而且孩子才4岁,肯定害怕,不做行不行? 先看看下面这张图,是不是有点明白为啥要钻开牙齿做根管治疗了? 很多孩子 牙髓感染, 和“甜蜜的童年”有关。孩子上幼儿园后,各种零食、糖果打开了新世界的大门,也悄悄地满足了“小蛀虫”在牙齿上作祟的条件。 牙髓感染后,引起的炎症便能够一路蔓延,引起上图的恶果。 当然,除了蛀牙, 磕伤牙齿 也可能引起这样的脓包。这个年龄段的小朋友活泼好动,一不小心把门牙磕伤后,也容易造成牙根内部的牙髓坏死、发炎。 这种发炎引起的“脓包”,学名叫做 根尖周脓肿。 经过正规的根管治疗,它通常会很快消退(千万别上手挤!)。 但若治疗不及时,炎症则有可能会毒害到乳牙后方的“小种子”—— 恒牙胚。 带着缺陷萌发出来的恒牙,则有可能变成 特纳牙, 也就是牙釉质发展不全的牙齿。 特纳牙(turner tooth):乳牙根尖炎症侵犯恒牙胚,导致恒牙釉质发育受损 所以说, 虽然孩子的乳牙以后会替换,一旦发炎也应及时治疗。 除非,遇到了“小蛀虫”破坏力太强的情况,牙根和周围的骨质都被吞噬了,根管治疗也无法保证恒牙胚的安全。(详见:《孩子牙齿坏到牙神经了,怎么办?》) 此时为保护恒牙胚, 得 把小乳牙给摘除 (如下图所示,这也是为啥医生通常建议拍X线片的原因。) 看到这里,是不是有家长想提问:医生你说的这种情况我记好了,可我家孩子的肿包好像有些不一样? 那我们再看看,是不是除了根尖周脓肿以外,很常见的这4种情况。 小宝贝张口大哭的时候,看到牙龈或上腭有一个或一串小珍珠样的小白点? 不用担心,这就是俗称的“马牙”,在出生后4-6周内的宝宝身上比较常见。 马牙并不是真正的牙,而是口腔上皮组织或唾液腺组织发育残留物,通常会在出生后数周内自行消失,不需要治疗。 宝贝在长牙阶段,牙龈上有时会冒出来像染了墨水一样的包,把妈妈吓一跳。 这其实是新牙“破土而出”之前, 血液、组织液在牙齿周围的空间内蓄积所致的, 医学上称之为 萌出性囊肿或血肿。 等到牙齿突破牙龈后,“墨囊”就自行消退了,也不需要治疗。 如果牙齿过了2周还未萌出,或发生了感染,可以带孩子看诊齿科。 能发现尖牙后乳头的妈妈,观察力一级棒!它是一种质坚、圆形、粉色至红色的纤维上皮小丘疹,直径2-3mm,多见于儿童下方尖牙舌侧的牙龈上,通常对称分布,往往无症状。 这可不能掉以轻心啦!家长得认真看看孩子是否属于这种情况。 这叫做 牙龈过度生长, 如果孩子平时刷牙不认真,没把牙龈附近的细菌给刷干净,细菌大规模繁殖后便会引起炎症,让牙龈肥大、充血,仿佛长了个包,有时需要进行牙龈切除术。 此外,孩子长期服用一些药物(如苯妥英钠、硝苯地平和环孢素A等),或患有全身浸润性疾病(如白血病)、遗传性牙龈纤维瘤病等,也会引起牙龈过度生长。 |
| Markdown | # 孩子牙龈长包,吃点消炎药就能好吗?

[卓正科普](https://news.qq.com/omn/author/8QMf3XZU5YMeug%3D%3D)
2021-01-19 16:00
较真要点:这种观点是不对的。孩子牙龈长包跟牙髓感染有关,除了蛀牙,磕伤牙齿也可能会导致长包。针对不同的情况,要及时进行观察和就医,防止口腔感染。

4岁的童童下牙龈长了一个包,家长看这个包和痘痘有几分相似,竟然上手给挤掉了!可没过几天,这个地方又鼓起了一个包,家长赶紧给童童吃消炎药。
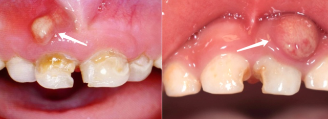
然而,肿包却反反复复,到齿科一检查竟被告知:要做根管治疗。

龋齿导致的根尖周脓肿
看到这里,你是不是也很疑惑:牙龈长包干嘛要钻开牙齿做根管治疗?而且孩子才4岁,肯定害怕,不做行不行?
别着急,我们来说说到底是咋回事。
牙龈长包?当心是牙根尖“脓包”
先看看下面这张图,是不是有点明白为啥要钻开牙齿做根管治疗了?

很多孩子牙髓感染,和“甜蜜的童年”有关。孩子上幼儿园后,各种零食、糖果打开了新世界的大门,也悄悄地满足了“小蛀虫”在牙齿上作祟的条件。
牙髓感染后,引起的炎症便能够一路蔓延,引起上图的恶果。
当然,除了蛀牙,磕伤牙齿也可能引起这样的脓包。这个年龄段的小朋友活泼好动,一不小心把门牙磕伤后,也容易造成牙根内部的牙髓坏死、发炎。
这种发炎引起的“脓包”,学名叫做根尖周脓肿。经过正规的根管治疗,它通常会很快消退(千万别上手挤!)。
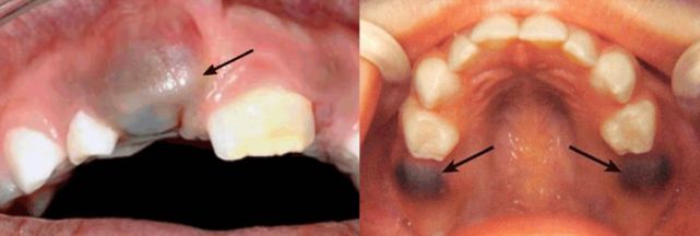
但若治疗不及时,炎症则有可能会毒害到乳牙后方的“小种子”——恒牙胚。

乳牙后方的恒牙胚(发育中)
带着缺陷萌发出来的恒牙,则有可能变成特纳牙,也就是牙釉质发展不全的牙齿。

特纳牙(turner tooth):乳牙根尖炎症侵犯恒牙胚,导致恒牙釉质发育受损
所以说,虽然孩子的乳牙以后会替换,一旦发炎也应及时治疗。
除非,遇到了“小蛀虫”破坏力太强的情况,牙根和周围的骨质都被吞噬了,根管治疗也无法保证恒牙胚的安全。(详见:《孩子牙齿坏到牙神经了,怎么办?》)
此时为保护恒牙胚,得把小乳牙给摘除(如下图所示,这也是为啥医生通常建议拍X线片的原因。)

炎症导致牙根吸收,根周骨质破坏,范围累及恒牙胚
看到这里,是不是有家长想提问:医生你说的这种情况我记好了,可我家孩子的肿包好像有些不一样?
那我们再看看,是不是除了根尖周脓肿以外,很常见的这4种情况。
牙龈上长了珍珠样小白点?
小宝贝张口大哭的时候,看到牙龈或上腭有一个或一串小珍珠样的小白点?

不用担心,这就是俗称的“马牙”,在出生后4-6周内的宝宝身上比较常见。
马牙并不是真正的牙,而是口腔上皮组织或唾液腺组织发育残留物,通常会在出生后数周内自行消失,不需要治疗。
注意,千万不要试图去擦掉,甚至用针去挑!

牙龈肿得像墨囊?
宝贝在长牙阶段,牙龈上有时会冒出来像染了墨水一样的包,把妈妈吓一跳。

这其实是新牙“破土而出”之前,血液、组织液在牙齿周围的空间内蓄积所致的,医学上称之为萌出性囊肿或血肿。
等到牙齿突破牙龈后,“墨囊”就自行消退了,也不需要治疗。如果牙齿过了2周还未萌出,或发生了感染,可以带孩子看诊齿科。
牙龈长出了小丘疹?
尖牙附近牙龈的这种小丘疹,也叫做“尖牙后乳头”。

一位7岁儿童下颌尖牙舌侧的尖牙后乳头
能发现尖牙后乳头的妈妈,观察力一级棒!它是一种质坚、圆形、粉色至红色的纤维上皮小丘疹,直径2-3mm,多见于儿童下方尖牙舌侧的牙龈上,通常对称分布,往往无症状。
尖牙后乳头会随着年龄的增长而变小,无需治疗。
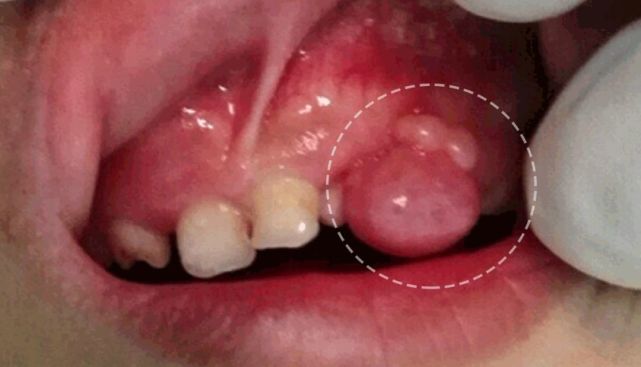
整个牙龈肿了起来?
这可不能掉以轻心啦!家长得认真看看孩子是否属于这种情况。

炎症性牙龈增生累及牙间区域和龈缘
牙龈组织变得肥大并充血
这叫做牙龈过度生长,如果孩子平时刷牙不认真,没把牙龈附近的细菌给刷干净,细菌大规模繁殖后便会引起炎症,让牙龈肥大、充血,仿佛长了个包,有时需要进行牙龈切除术。
此外,孩子长期服用一些药物(如苯妥英钠、硝苯地平和环孢素A等),或患有全身浸润性疾病(如白血病)、遗传性牙龈纤维瘤病等,也会引起牙龈过度生长。 |
| Readable Markdown | null |
| Shard | 35 (laksa) |
| Root Hash | 15406985020966600035 |
| Unparsed URL | com,qq!news,/rain/a/20210119A08LFN00 s443 |